Preventive Health Screening Checklist for Early Detection and Better Health
Preventive Health Screening Checklist for Early Detection and Better Health Your risk of developing [...]
Preventive Health Screening Checklist for Early Detection and Better Health Your risk of developing [...]
When it comes to how to stay healthy in 2026, digital health innovations are [...]
Crohn's And Colitis Awareness Week Crohn’s and Colitis Awareness Week promotes awareness of inflammatory [...]
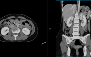
Can A CT Scan Detect Colon Cancer? Colon cancer is one of the deadliest forms [...]
Lung Cancer Awareness Month Lung cancer is the third-most common type of cancer. Experts [...]
A computed tomography (CT) scan is a diagnostic tool that allows medical professionals to [...]
During October, we observe National Liver Awareness Month. Your liver filters toxins from your [...]
Learn More About Breast Cancer This Breast Cancer Awareness MonthLearn More About Breast Cancer [...]
Each year, approximately two million people are diagnosed with cancer in the U.S. With [...]
Did you know that the most common type of heart disease in the United [...]