
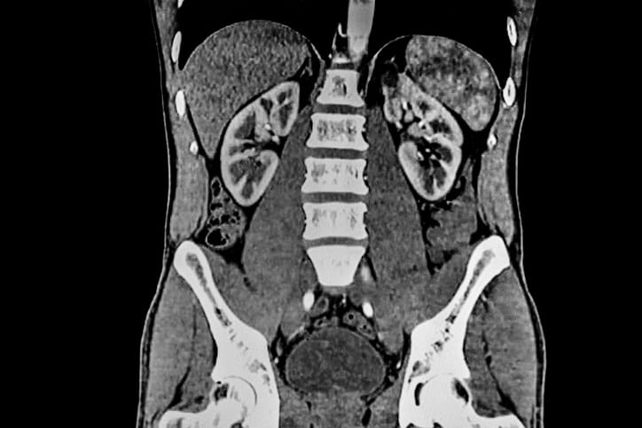
A computed tomography (CT) scan is a diagnostic tool that allows medical professionals to gain a clear view of what’s happening inside your body. CT scans are similar to X-rays; however, CT scans capture images from all angles, and sophisticated software compiles those images to generate three-dimensional images of parts of your body. The detailed images produced by abdominal CT scans provide practical diagnostic information that can be used to identify health issues such as hernias, kidney stones, and several types of cancer.
Abdominal CT scans can detect cancer in its earliest stages. Early detection increases survival rates. Ovarian cancer is one type of cancer that an abdominal CT scan can detect. When diagnosed in stage one, 89% of those receiving treatment for ovarian cancer will survive for five years or more. The five-year survival rate drops to 20% for those diagnosed in stage four.
Scheduling an abdominal CT scan will provide you with detailed information about your health, allowing you to enjoy the peace of mind that comes from confirming you’re healthy or to receive treatment promptly, thereby increasing your odds of restoring your health.
Book Your Non-Invasive Scan.
How Abdominal CT Scans Work
An abdominal CT scan machine uses X-ray technology to produce images. When you get an abdominal CT scan, you lie on a table that’s inserted into a large ring, shaped like a donut. That’s the scanner.
Once the table moves you into position, the scanner moves around you, capturing images of the body from all angles. These images are transferred to a computer that combines them, providing three-dimensional images of what’s happening inside your body.
A CT technologist oversees the CT scan, providing guidance throughout to ensure that all necessary images are captured, generating comprehensive images of your organs (including your intestines, kidneys, liver, and pancreas), bones, and blood vessels.
What Cancers And Conditions Can Be Detected?
An abdominal CT scan can provide diagnostic information used to diagnose several types of cancer, including the following:
- Lymphoma
- Kidney cancer (renal cell carcinoma)
- Melanoma
- Ovarian cancer
- Pancreatic cancer
An abdominal CT scan is one of the most effective ways to detect health issues affecting your stomach, kidneys, gallbladder, pancreas, ovaries, and gastrointestinal tract.
Preparing For Your Scan
Abdominal CT scans are non-invasive, and it’s easy to prepare for the test. Wear loose-fitting clothing and avoid wearing jewelry or any items with metal. Do not wear shirts or pants with metal buttons.
You will receive specific instructions to follow. Unless otherwise directed, you’ll be able to eat and drink before your exam. If you are asked to fast, you’ll need to avoid foods and drinks for a three-hour window before your exam.
Once it’s time for your CT scan, you’ll lie on the metal table that slides into the scanner. As noted in the answers to our frequently asked questions, capturing the necessary images takes less than a minute. From your arrival to your departure, your appointment should take approximately 15 minutes.
Benefits Of Choosing Preventative Diagnostic Center
Preventative Diagnostic Center provides detailed abdominal scans using Siemens Healthineers scanners. Our patients do not require a doctor’s referral. If you’re concerned about your health and want to get accurate health information, you can contact our office in Las Vegas and schedule an appointment.
Our team includes a licensed doctor of osteopathic medicine (D.O.) and a licensed radiologist. These medical experts have decades of training and experience using CT scans for cancer detection and diagnosing other health issues. You can schedule a CT scan without a referral. Our radiologist produces a detailed radiology report. You will receive a copy of these test results within 10 days of completing your scan.
Our non-invasive scans are quick and painless. Your appointment takes 15 minutes or less. You will be lying down throughout the scan and will be directed to hold still and hold your breath for brief periods while images are captured.
Our scanners also use a low dose of radiation to capture images. This low dose reduces the risks to patients while providing comprehensive health information. Early detection increases the odds of survival and reduces the cost of treatment.
Who Should Consider An Abdominal CT Scan?
You may benefit from an abdominal CT scan if your family medical history includes various types of cancer, including the following:
- Kidney cancer
- Melanoma
- Ovarian cancer
- Pancreatic cancer
Book Your Abdominal CT Scan Today
Preventative Diagnostic Center can deliver the health information you need to restore your peace of mind or ensure you receive appropriate treatment as soon as possible. Contact us to schedule your non-invasive, low-dose CT scan today.
Sources:
Abdominal CT Scan. (2024).
Computed Tomography (CT) Scan. (2025).
Ovarian Cancer: Early detection can help save lives. (2023).
What kind of doctor is a D.O.? Does a D.O. have the same training as an M.D.? (2022).
