
Each year, approximately two million people are diagnosed with cancer in the U.S. With over 600,000 people dying from cancer each year, it’s the second-highest cause of death in the nation.
Computed tomography (CT) scans are effective for detecting some types of cancer. The CT scanner captures images of the individual’s insides while they lie on a table. The computer assembles the images of what’s happening beneath the skin to create 3D representations that enable medical professionals to identify tumors and other health issues.
Early detection and treatment improve outcomes and save lives. A CT scan machine produces a reliable scan quickly and safely, ensuring individuals receive the health information they need to restore their peace of mind or receive the necessary treatment promptly.
Book your non-invasive scan.
What Is a CT Scan?
A computed tomography scan is a type of X-ray, but the following are some key differences between CT scans and X-rays:
- CT scans capture images with multiple beams in various positions. A computer then assembles these slices to produce accurate 3D images. X-rays produce 2D images.
- CT scans create images of bones, and organs; X-rays produce images of bones and soft tissue.
- CT scans use less radiation than X-rays, making them safer for patients.
- Suppose you’re going for a CT scan and wonder what to expect. You will lie on a table that’s inserted inside an X-ray tube shaped like a donut. At times, you will be directed to hold still and hold your breath.
The tube sends out multiple beams of radiation, which capture images of what’s happening inside your body. The images are then assembled to produce 3D representations, providing medical professionals with a clear view of your organs, bones, and blood vessels. These 3D images can reveal tumors and enable professionals to measure masses.
How CT Scans Help Detect Cancer
A screening test produces accurate images of your bones, blood vessels (typically when using contrast dye), and organs. These images can reveal growths and masses. Since the images are three-dimensional, it’s possible to measure any growth. The size and location of tumors detected enable doctors to determine what type of cancer it is and what stage you’re in. This information helps them determine the best treatment options.
One of the key distinctions between CT scans and other diagnostic procedures used for cancer detection is the level of invasiveness or preparation involved. Most CT scans require the patient to wear loose clothing and avoid wearing any metal on the day of the exam. However, individuals who require a colonoscopy should begin making dietary adjustments 72 hours before their appointment. Those scheduled for an endoscopy need to fast for several hours before their appointment, and since they’re sedated, they need about 24 hours to recover before they can drive.
Biopsies can confirm the presence of cancer; however, a doctor needs to confirm there’s a lump present or there have been notable physical changes, such as changes to a mole, to order a biopsy. It’s common for people to need a biopsy after a CT scan if their scan reveals a growth and more information is needed to determine if it’s cancerous. Since a biopsy involves removing cells or tissue from the body, it is a more invasive procedure, making CT scans a less invasive diagnostic method.
PET scans are also more invasive because individuals have radioactive material injected into their bodies before the scan.
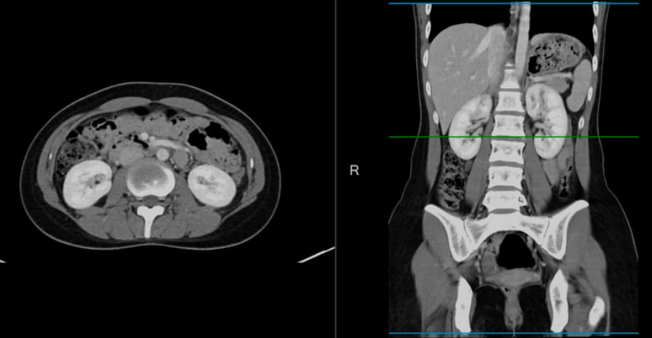
Types of Cancer CT Scans Can Detect
Those wondering if cancer can be detected by a CT scan will be relieved to know that CT scans can effectively provide information to diagnose several types of cancer. One of the most common types of cancer that CT scans are used to diagnose is lung cancer, but CT scans can also detect the following types of cancer:
- Bladder
- Bowel
- Brain
- Colon
- Kidney
- Liver
- Lymph nodes
- Pancreatic
- Stomach
- Ovarian
CT scans offer the benefits of a fast procedure that’s less invasive than some other diagnostic procedures. However, CT scans cannot detect all types of cancer, and you may need to explore different diagnostic options if there’s reason to suspect certain types of cancer, such as leukemia, lymphoma, uterine cancer, or bone cancer.
The Advantages of CT Imaging
Notable advantages of CT scans include the following:
- They’re accurate and provide detailed diagnostic information: The scans can detect cancer at its earliest stages of development, and the high-resolution 3D images produced from these scans have helped medical professionals provide effective treatments, reducing lung cancer deaths by 20%.
- They’re non-invasive: Limited preparation is required, and individuals who undergo CT scans without contrast dye can resume their normal activities immediately after the scan.
- They’re quick: Scanning takes 15 minutes or less, and results are available within 10 business days.
- They’re helpful for other tests or treatment: Doctors use information from CT scans to determine where to perform biopsies or how to treat cancer.
What To Expect During a CT Scan
You will not need to change into a gown when you arrive for your CT scan. Wearing loose clothing allows the machine to capture the necessary images.
You cannot wear any metal during the scan. When you arrive, you’ll be directed to lie down on the table, and it will slide inside the tube. You will be instructed to stay still and hold your breath at some points during the scan.
The scan lasts no longer than 15 minutes, and there are no restrictions on your activities after CT scans performed without contrast dye.
There’s a small risk from radiation exposure during CT scans. Ideally, you should discuss the risks with your doctor to ensure it’s the best option for you. It may be safer for you to choose a different diagnostic procedure if you have other risk factors.
Preventative Screenings in Las Vegas
Preventative Diagnostic Center provides you with the peace of mind you deserve through a non-invasive CT scan. You do not need a doctor’s referral; our team includes licensed physicians who will oversee your scan and evaluate your results. We provide accurate health information that confirms you’re cancer-free or provides detailed information on your next steps and who to see to treat any detected cancer.
Get the Health Information You Need From a CT Scan
CT scans can detect several types of cancer. You can learn more about CT scans by discussing them with your doctor or contacting the experts at Preventative Diagnostic Center. You can get the accurate health information you deserve and determine whether you have one of several types of cancer by booking a CT scan now.
Schedule your scan.
Sources:
Cancer Stat Facts: Common Cancer Sites. (2025).
Katz, J. (2024). 10 common tests and scans used to diagnose cancer.
Leading Causes of Death. (2025).
